Przejdź do treści
Reklama
Reklama
Nauka

Polityczna tkanka nerwowa

Neuropolityka pyta: jak nasz mózg przekształca glukozę w poglądy

Wpływ genów w 45 proc. wyjaśnia różnice w poglądach politycznych poszczególnych osób w danej populacji. Wpływ genów w 45 proc. wyjaśnia różnice w poglądach politycznych poszczególnych osób w danej populacji. Getty Images
Jak ludzki mózg przekształca glukozę w poglądy polityczne? To jedno z najważniejszych i najtrudniejszych pytań, na które od dwóch dekad szuka odpowiedzi interdyscyplinarna nauka: neuropolityka.
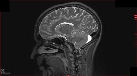
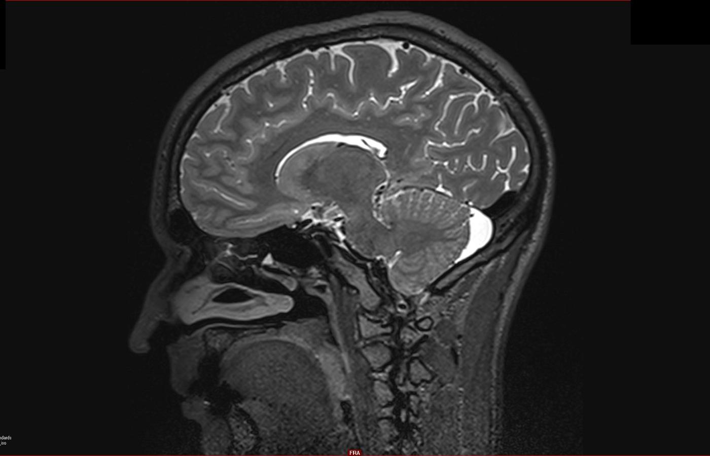
Ludzki mózg liczy ok. 86 mld neuronów i 100 bln synaps (miejsc, w których komórki nerwowe przekazują sobie informacje).DerCosmo/Wikipedia Ludzki mózg liczy ok. 86 mld neuronów i 100 bln synaps (miejsc, w których komórki nerwowe przekazują sobie informacje).

W musicalowej komedii „Wszyscy mówią: kocham cię” Woody’ego Allena występuje postać Scotta Dandrige’a. To wchodzący w dorosłość syn Boba, zamożnego nowojorskiego prawnika o postępowo-liberalnych poglądach. Gdy Scott wygłasza konserwatywne credo o zbędności opieki społecznej, rozpieszczaniu przestępców, prawie do noszenia broni i modlitwy w szkołach, zdenerwowany Bob reaguje: „Nie wierzę, że mówi to mój własny syn z krwi i kości”. Pod koniec filmu chłopak nagle traci przytomność i trafia do szpitala. Tam okazuje się, że miał przytkaną tętnicę, co skutkowało niedotlenieniem mózgu. „Mógł ostatnio zachowywać się trochę dziwacznie” – informuje rodziców lekarz. A Scott – gdy tylko jego mózg zaczyna normalnie funkcjonować – zmienia się w liberalnego demokratę.

Układanka

W tej antykonserwatywnej satyrze tkwi ziarno prawdy: irytacja Boba jest, w świetle badań naukowych, w pewnym sensie uzasadniona. Poglądy polityczne danej osoby da się dość trafnie przewidzieć na podstawie tego, co sądzą jej rodzice. Może to wynikać zarówno z oddziaływania środowiska (rodzina Dandrige’ów), jak i odziedziczonych genów („syn z krwi i kości”). Wpływ tych drugich ocenia się obecnie – m.in. dzięki badaniom rozdzielonych po urodzeniu bliźniąt jednojajowych, czyli posiadających ten sam materiał genetyczny – na 45 proc. Tu jednak konieczne zastrzeżenie: nie oznacza to, że w przypadku konkretnej osoby jej DNA odpowiada niemal w połowie za to, jakie wyznaje poglądy polityczne, a w pozostałych 55 proc. decyduje o tym środowisko. Owe procenty odnoszą się bowiem do całej populacji, a nie jednostki. I mówią, że wpływ genów w 45 proc. wyjaśnia różnice w poglądach politycznych poszczególnych osób w danej populacji.

Polityka 1/2.2023 (3396) z dnia 27.12.2022; Nauka ProjektPulsar.pl; s. 100
Oryginalny tytuł tekstu: "Polityczna tkanka nerwowa"
Reklama