Przejdź do treści
Reklama
Reklama
Nauka

Atak z dwóch stron

Nowe metody walki z rakiem

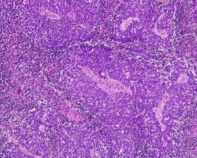
Limfocyty (zaznaczone na biało) przywierają do komórki raka, rozpoznając obecne na jej powierzchni białka. Limfocyty (zaznaczone na biało) przywierają do komórki raka, rozpoznając obecne na jej powierzchni białka. SPL / East News
Skuteczność walki z rakiem można zwiększyć dzięki wspomożeniu naturalnych zdolności ludzkiego organizmu.
Drobnokomórkowy (anaplastyczny) rak płucWikipedia Drobnokomórkowy (anaplastyczny) rak płuc

Czy mnie też to spotka? Po śmierci aktorki Anny Przybylskiej u chorych na raka pojawił się niepokój. Nieważne, jaki nowotwór: trzustki, płuca, nerek, skóry – wielu chce wiedzieć, jak się potoczy choroba i ile zostało im życia? Bo skoro rak tak szybko zabija nawet tych, którzy mogą pozwolić sobie na najdroższe kuracje i zabiegi w najlepszych ośrodkach, to co z rzeszą pacjentów niemających takich możliwości? Próbują uratować resztki nadziei.

Wszelkie szacunki co do długości życia z rakiem mogą być bardzo mylące – uspokaja prof. Rafał Dziadziuszko z Kliniki Onkologii i Radioterapii Gdańskiego Uniwersytetu Medycznego. Dlatego prof. Piotr Rutkowski, kierownik Kliniki Nowotworów Tkanek Miękkich, Kości i Czerniaków z warszawskiego Centrum Onkologii, gdy trafia do niego pacjent z perspektywą 2–3 miesięcy, przyparty do muru, zamiast wchodzić w szczegóły, woli powiedzieć: „nie będę mógł pana wyleczyć”. Taka wersja wydaje mu się łagodniejsza.

Dla urzędników wydających zgody na refundację niektórych leków ograniczenie perspektywy do kilku miesięcy jest wystarczającym powodem, by zezwolenia nie wydać. Nawet perspektywa półroczna nie otwiera drogi do otrzymania refundacji, choć z punktu widzenia chorego to wcale nie musi być okres stracony ani przeżyty na kredyt. Barbara Czerska, etyk, zwraca uwagę, że choroba nowotworowa zmienia podejście do czasu, czego nie uświadamiają sobie ludzie zdrowi: – Rak zabija w nas poczucie nieśmiertelności i każdy przeżyty miesiąc, tydzień, a nawet dzień staje się ważny.

Prof. Tadeusz Pieńkowski, kierownik Kliniki Onkologii i Chirurgii z Europejskiego Centrum Zdrowia w Otwocku, niejednokrotnie był w szpitalu świadkiem ślubów i rodzinnych pojednań, do których by nie doszło, gdyby kuracja nie wydłużyła życia o kilka tygodni. – Tysiące razy widziałem chorych, którzy chcieli doczekać komunii dziecka, obrony dyplomu wnuka lub zakończyć ważne dla siebie sprawy – wyznaje. – To co zdrowy człowiek ma przewidziane na lata, u chorych z uogólnionym nowotworem dramatycznie się kumuluje w ciągu kilku miesięcy.

Czy to porażka onkologii, że przy wielu postaciach raka – tak jak u Anny Przybylskiej – perspektywa życia dłuższego niż rok od rozpoznania choroby nie wchodzi w rachubę? Przy raku trzustki 5 lat przeżywa zaledwie 5 proc. chorych. 13 listopada przypada ogólnopolski dzień chorych na ten nowotwór. Może gdyby zastosować u niektórych nowoczesne kuracje we wcześniejszym stadium, tę ponurą statystykę można by poprawić. Na tym polega dramat: na drogie leczenie kombinacją nab-paklitakselu z gamcytabiną NFZ wydaje zgodę w krańcowych sytuacjach, stojąc na stanowisku, że należy wcześniej stosować tańsze metody leczenia, choć paradoksalnie, gdyby pacjenci mogli otrzymywać nowszą kurację wcześniej – rezultaty byłyby lepsze.

Po pierwsze: przedłużyć życie

W przypadku innego trudnego nowotworu, raka płuca, wielu chorym trudno dać szansę na wyleczenie, ponieważ z uwagi na podstępny i szybki przebieg zaledwie co dziesiąty kwalifikuje się do radykalnego wycięcia guza. U 80 proc. pacjentów pozostaje jedynie leczenie paliatywne, które poprawia jakość życia, ale choroby nie likwiduje.

Dr hab. Dariusz Kowalski z Kliniki Nowotworów Płuca i Klatki Piersiowej w stołecznym Centrum Onkologii nie uważa jednak tej perspektywy za przejaw słabości onkologii: – Staramy się zrobić wszystko, aby życie wydłużyć. Pierwszy lek daje szansę na ok. 10 miesięcy, zanim wyczerpie się jego potencjał, podajemy drugi – na kolejnych 10 miesięcy, po nim trzeci – efektywny przez rok, i czwarty – na 9 miesięcy. Chory może więc przeżyć 3,5 roku, jeśli w odpowiednim momencie zostanie zakwalifikowany do leczenia molekularnego.

Takie leczenie to szansa dla wybranych – inaczej niż przy klasycznej chemioterapii, w komórkach rakowych muszą być obecne określone cechy genetyczne i trzeba je znaleźć, by wiedzieć, jaki konkretny preparat podać choremu. Dlatego specyfiki te nazywa się ukierunkowanymi molekularnie – sprawdzają się tylko u starannie wyselekcjonowanych chorych, z wykrytymi w badaniach genetycznych mutacjami, czyli uszkodzeniami genów, które stymulują procesy nowotworowe (niestety, tego rodzaju badania wciąż nie są w Polsce rutynowe, w związku z czym do kuracji molekularnych kwalifikowanych bywa niewielu pacjentów).

W 60 proc. sprawdzanych pod tym kątem guzów płuca udaje się wykryć mutacje genu EGFR, KRAS, BRAF, ALK – wylicza prof. Rafał Dziadziuszko. – Każda z nich oznacza inną prognozę i inny wybór kuracji, co czyni onkologię coraz bardziej spersonalizowaną.

Jeśli u chorego występuje na przykład mutacja w genie EGFR, wiadomo już, że zamiast tradycyjnej chemioterapii warto podać leki z grupy inhibitorów kinazy tyrozynowej, które zablokują od środka receptor EGFR i szlak sygnałów stymulujących komórkę do niekontrolowanego podziału. W przypadku zaburzenia genu ALK również można zastosować leki efektywne tylko w tej jednej konkretnej odmianie raka i dać pacjentowi ok. 10 miesięcy, zanim nastąpi nawrót choroby. Czy to mało, jeśli może znowu pracować, realizować swoje marzenia, darować ten czas bliskim? A może po 10 miesiącach pojawi się nowa opcja leczenia?

– Biorąc pod uwagę dynamikę postępu w onkologii, nawet tygodnie nie są stracone – twierdzi prof. Piotr Rutkowski, dając za przykład nowe kuracje stosowane w przypadkach czerniaka. – Jeszcze niedawno zaawansowane stadium tej choroby skazywało na szybką śmierć. Dziś można sięgnąć po leki celowane w konkretnych mutacjach lub skorzystać z immunoterapii i wydłużyć chorym życie o wiele miesięcy czy nawet lat.

Gorący temat w onkologii

Tu dochodzimy do najnowszego sposobu zmagania się z rakiem, który przykuwa uwagę naukowców. Mobilizacja układu odpornościowego stała się podczas ostatnich kongresów onkologicznych – zarówno w Europie, jak i w Stanach Zjednoczonych – tak gorącym tematem, że uznano tę metodę za największy przełom mijającego roku. Trochę to dziwne, biorąc pod uwagę, że już na przełomie XIX i XX w. zauważono spontaniczne ustępowanie guzów nowotworowych pod wpływem infekcji bakteryjnych, stymulujących układ immunologiczny do działania. W najnowszej odsłonie immunoterapii nie chodzi o podawanie chorym toksyn ani nawet szczepionek terapeutycznych – sukces polega na celowaniu w tzw. punkty kontrolne, regulujące odpowiedź immunologiczną.

Idea tego leczenia sprowadza się do odblokowania uśpionych limfocytów, aby z większym impetem atakowały raka. Nasz naturalny nadzór immunologiczny codziennie wyszukuje w organizmie komórki, które mogą zezłośliwieć. Dlatego u chorych po przeszczepach, u których trzeba usypiać układ odporności, aby nowy narząd mógł się zaadaptować, ryzyko choroby nowotworowej wzrasta aż 7-krotnie. Limfocyty, główni żołnierze tej naturalnej obrony, za pomocą wyspecjalizowanych receptorów, rozpoznają na powierzchni komórek nowotworowych specyficzne antygeny, a następnie indukują kaskadę przemian prowadzących do zniszczenia komórek guza.

Takim ostatnio odkrytym na limfocytach receptorem okazało się białko PD-1. Niestety, rak potrafi bronić się przed aktywnością immunologiczną swojego gospodarza i na powierzchni własnych komórek wytwarza analogiczne białko PD-L, które neutralizuje receptor limfocytu. W rezultacie aktywność naszych naturalnych sił obronnych zostaje stłumiona i nowotwór rośnie. Nowa idea leczenia polega więc na tym, by specjalnym przeciwciałem o nazwie pembrolizumab uniemożliwić połączenie wspomnianych receptorów, dzięki czemu siła działania limfocytów zostaje odblokowana.

Nowa metoda najlepiej sprawdza się w przypadkach czerniaka, gdyż jego antygeny najbardziej różnią się od naszych własnych komórek i układ odporności może je łatwiej zidentyfikować. Dobre wyniki leczenia uzyskano jednak również w przypadkach raka płuca, co daje nadzieję, że ten sposób immunoterapii będzie można wykorzystywać szerzej. A może przyszłość leży w połączeniu tej metody z lekami ukierunkowanymi molekularnie? Z jednej strony będziemy uderzać w konkretne geny i receptory, a z drugiej – mobilizować limfocyty do walki z rakiem.

Prof. Rutkowski nie wyklucza następującej sekwencji leczenia: – Najpierw chory otrzyma leczenie celowane, które działa szybciej, a potem przejdzie na immunoterapię, która dobre wyniki daje w dłuższej perspektywie.

To na razie tylko spekulacje, bo nawet eksperci ze Stanów Zjednoczonych, z dłuższym doświadczeniem w stosowaniu nowej metody, są ostrożni. Prof. Edward Garon z Uniwersytetu Kalifornijskiego w Santa Monica przyznaje, że na odpowiedź, czy połączenie terapii celowanej z immunoterapią ma sens, nie powinniśmy czekać zbyt długo. – Czy to będzie panaceum? Ja jeszcze tego nie wiem – rozkłada ręce uczony.

Remisja na wiele lat

Niezależnie od tych wątpliwości, immunoterapia staje się – przynajmniej w leczeniu czerniaka, a w niedalekiej przyszłości pewnie także raka płuca, pęcherza moczowego, żołądka, trzustki – standardem podobnym do radioterapii, chemioterapii i leczenia molekularnego. Pierwsza z tych metod wypala guza. Chemia już w ciągu kilkunastu godzin przynosi efekty, choć przypomina nalot dywanowy: szybko niszczy komórki rakowe, ale przy okazji uszkadza zdrowe tkanki, co wywołuje przykre skutki uboczne. Terapie celowane są skuteczne tylko u starannie wyselekcjonowanych chorych i po pewnym czasie nowotwór się na nie uodparnia. Immunoterapia wydłuża życie w chorobie nowotworowej, choć wciąż nie wiadomo, u kogo najlepiej ją zastosować.

Każda z tych strategii ma więc swoje ograniczenia. Trudno orzec, czy to dobra, czy zła wiadomość. Pesymiści zwieszą ponuro głowę, ale patrząc z perspektywy wieloletnich zmagań z rakiem, nigdy wcześniej nie mieliśmy w arsenale dostępnych metod tylu możliwości. Leczenie w onkologii zawsze przypominało wyścig z czasem: jeśli w porę nie udało się usunąć chirurgicznie całego guza, pojawiał się rozsiew, więc dobijano komórki rakowe radioterapią lub chemią. Po kilku latach mógł nastąpić nawrót choroby. Kiedyś nieodwołalnie śmiertelny. Dziś nawrót udaje się likwidować przy użyciu nowych specyfików i doprowadzać do remisji na wiele lat. Nie można powiedzieć, że leczenie raka stanęło w miejscu, nawet jeśli tyle niepowodzeń i cierpień przydarza się jego ofiarom.

Polityka 46.2014 (2984) z dnia 11.11.2014; Nauka; s. 72
Oryginalny tytuł tekstu: "Atak z dwóch stron"
Więcej na ten temat
Reklama

Czytaj także

null
Społeczeństwo

Pomówmy o telefobii. Dlaczego młodzi tak nie lubią dzwonić? Problem widać gołym okiem

Chociaż młodzi niemal rodzą się ze smartfonem w ręku, zwykła rozmowa telefoniczna coraz częściej budzi w nich niechęć czy wręcz lęk.

Joanna Podgórska
07.12.2025
Reklama

Ta strona do poprawnego działania wymaga włączenia mechanizmu "ciasteczek" w przeglądarce.

Powrót na stronę główną