Przejdź do treści
Reklama
Reklama
Nauka

Nie daj się zaskoczyć

Gdy nadchodzi udar, najważniejsza jest szybka reakcja

Mauro Fermariello / BEW
Dzwonić po pogotowie czy przeczekać? Przy objawach wskazujących na udar mózgu zwlekać nie wolno.
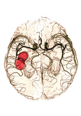
Obraz ukazujący miejsce wystąpienia udaru mózgu.Deco Images II/Alamy Stock Photo/BEW Obraz ukazujący miejsce wystąpienia udaru mózgu.

Choć od tamtego poranka minął już rok, Anita Kruszewska dobrze pamięta, jak po wstaniu z łóżka zobaczyła swój pokój za mgłą. – Obraz był zamazany. W lustrze zauważyłam, że opada mi prawa powieka.

Zanim wykręciła numer do przychodni, by umówić się na wolny termin u okulisty, zadzwonił kolega, któremu opowiedziała, co się dzieje. „Musi cię zbadać neurolog, bo to może być zapalenie jakiegoś nerwu” – zasugerował. – Znajomy ma żonę pielęgniarkę, więc uznałam go za autorytet – mówi trochę ironicznie, choć tamta rozmowa uratowała jej życie. Idąc za przyjacielską radą, jeszcze tego samego dnia zgłosiła się do poradni neurologicznej, skąd zabrała ją karetka na ostry dyżur do oddziału udarowego.

Gdybym zwlekała dłużej, nie wiem, jak by to się skończyło – wspomina. Wieczorem nie widziała już nic i nie mogła mówić. Na szybkie leczenie było za późno. Udar się dokonał i zadaniem lekarzy oraz rehabilitantów pozostawało teraz próbować przywrócić 45-letniej pacjentce dawną sprawność.

To zawsze jest trudna decyzja: dzwonić po pogotowie czy może przeczekać? Pędzić do szpitala czy odwiedzić wpierw lekarza rodzinnego, bo może on coś zaradzi na niedowład nogi lub opadający kącik ust? Dr hab. Adam Kobayashi z II Kliniki Neurologii w warszawskim Instytucie Psychiatrii i Neurologii nie ma wątpliwości: – Jeśli takie objawy wystąpiły nagle, nie można zwlekać. Lepiej narazić się na epitet hipochondryka, niż ryzykować życie.

Na kontakt ze sfrustrowanym lekarzem, który w izbie przyjęć lub w pogotowiu ma do zbadania kilkudziesięciu chorych, a na głowie jeszcze oddział i pilne wezwania, większość pacjentów na pewno woli się nie narażać.

Polityka 27.2016 (3066) z dnia 28.06.2016; Nauka; s. 68
Oryginalny tytuł tekstu: "Nie daj się zaskoczyć"
Reklama