Przejdź do treści
Reklama
Reklama
Społeczeństwo

Zanim padnie ostatni as

Alzheimer: jak się przygotować

Od stu lat medycyna farmakologicznie ciągle działa po omacku. Nie ma nic do zaoferowania, oprócz złapania alzheimera tuż przed. To dobry moment, by uporządkować życie. Od stu lat medycyna farmakologicznie ciągle działa po omacku. Nie ma nic do zaoferowania, oprócz złapania alzheimera tuż przed. To dobry moment, by uporządkować życie. Mirosław Gryń / Polityka
Coraz lepsza diagnostyka pozwala wyłapać alzheimera na czas. I przygotować się, najlepiej jak można, na własne otępienie.
Obecnie alzheimer toczy mózgi okołowojenne. Silne, bo zawsze miały pod wiatr.Mirosław Gryń/Polityka Obecnie alzheimer toczy mózgi okołowojenne. Silne, bo zawsze miały pod wiatr.

Gdy przychodnia Prosen w Warszawie zorganizowała darmowe badanie pamięci, poległa blisko połowa spośród 150 zaniepokojonych sobą. Na przykład na przesiewowym teście zegara. Narysowanie tarczy i oznaczenie na niej zadanej godziny np. 14.15 było już wysiłkiem dla neuronów. Wcześniej interniści zbywali zaniepokojonych w stylu: proszę sobie łyknąć Ginkofar.

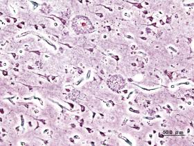
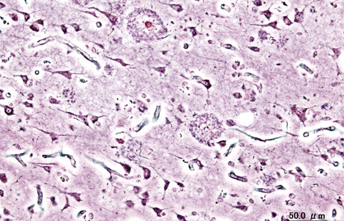
Alzheimera lekceważy się jak próchnicę. Na prowincji zauważany dopiero, gdy wyciąga ostatnie asy: bo babka karmi kury kamieniami i załatwia się w kuchni. Tymczasem medycyna już wie, z kim gra. Toczy co siódmy mózg po 65 roku życia. Do 2020 r. dobierze się w Polsce do miliona mózgów. Skubaniec inkubuje się cicho. Jakieś 20 lat przed tzw. pierwszą manifestacją. Ta następuje zwykle w momentach dla neuronów traumatycznych: śmierć kogoś kochanego, pobyt w szpitalu, remont, przeprowadzka. Nawet wymiana czajnika.

Wiemy już, jak opiekować się kimś, kto traci samego siebie. Bliscy przerabiają to na swoich grupach wsparcia. Tym, nad którymi zawisł alzheimer, wciąż niewiele mamy do zaoferowania. W naszych mózgach krąży stereotypowa klisza z szurającym kapciami staruszkiem w pampersie, bawiącym się kurkami od gazu. Tymczasem próchniejący mózg zatraca się w sobie powoli. Statystycznie przez 5–12 lat od diagnozy. Alzheimera złapanego na czas można odroczyć. I (choć nie da się tego zrobić w oderwaniu od bliskich) przygotować się na własne otępienie. Ale od początku.

Początki

W Ścinawie nie zakleja się luster. Tutejsi pensjonariusze jeszcze nie boją się własnych odbić. Większość ośrodków alzheimerowskich to dożywotnie przytułki, gdzie już się nie leczy, tylko umieszcza.

Polityka 20.2013 (2907) z dnia 14.05.2013; kraj; s. 22
Oryginalny tytuł tekstu: "Zanim padnie ostatni as"
Reklama