Przejdź do treści
Reklama
Reklama
Nauka

Inteligentnie rozpoznać raka

Komputery mogą diagnozować nowotwory

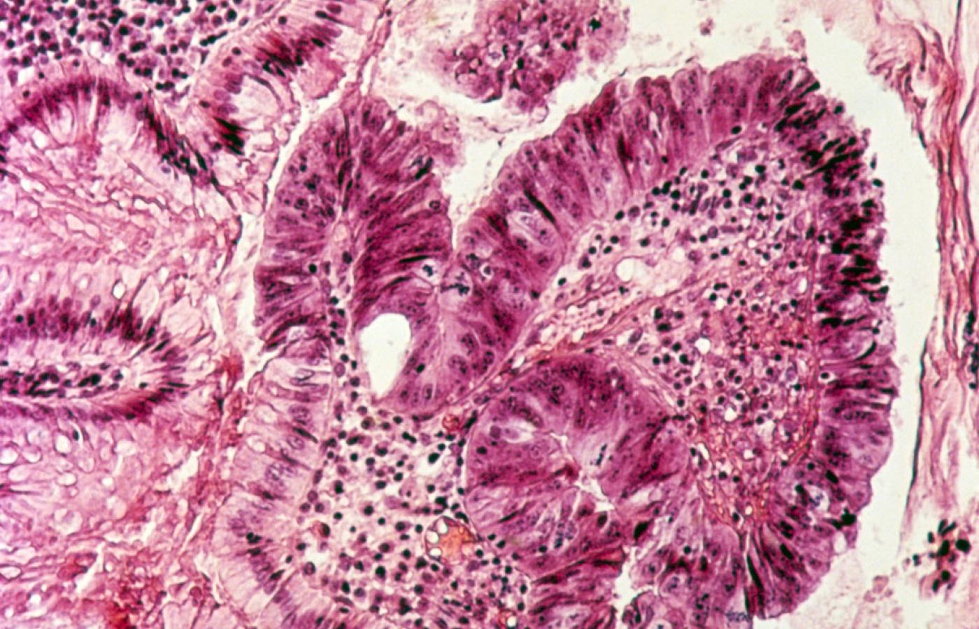
Pokolorowany elektroniczny obraz komórki rakowej. Pokolorowany elektroniczny obraz komórki rakowej. Science Photo Library
Rozmowa z dr. inż. Michałem Krukiem, informatykiem i laureatem Nagrody Naukowej POLITYKI, o tym, jak uczy się komputery diagnozować nowotwory.
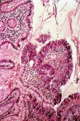
Pobrana od pacjenta tkanka z komórkami rakowymi, pod mikroskopem.Science Photo Library Pobrana od pacjenta tkanka z komórkami rakowymi, pod mikroskopem.

Marcin Rotkiewicz: – Sztuczna inteligencja, sieci neuronowe rozpoznające komórki rakowe – to, czym się pan zajmuje, brzmi niemal jak science fiction.
Michał Kruk: – Na pierwszy rzut oka może się tak wydawać, ale dzisiejsze komputery, i to wcale nie jakieś supermaszyny o wielkich mocach obliczeniowych, tylko te zwyczajne, które mamy na biurkach czy nawet w smartfonach, da się wykorzystać do bardzo zaawansowanych zadań. Również takich jak właśnie diagnostyka nowotworów.

Jak zatem zmienić laptop czy smarfon w patomorfologa?
Potrzebna jest do tego tak zwana sieć neuronowa, czyli program komputerowy wykazujący cechy sztucznej inteligencji. Inspiracją dla tworzenia takich sieci była budowa mózgu składającego się przede wszystkim z neuronów, czyli komórek nerwowych. Dlatego działanie sztucznych sieci neuronowych do pewnego stopnia przypomina właśnie funkcjonowanie mózgu. Dzięki temu posiadają bardzo istotną cechę: potrafią się uczyć pewnych umiejętności. Na przykład rozpoznawać, czy dana ludzka komórka ciała, widoczna na zdjęciu mikroskopowym, jest zdrowa czy też przekształciła się już w nowotworową.

Takie sieci neuronowe, a więc programy komputerowe, sam pan pisze?
Nie, wykorzystujemy to, co jest dostępne na rynku, czyli po prostu kupujemy tego typu oprogramowanie.

Polityka 44.2014 (2982) z dnia 28.10.2014; Nauka; s. 70
Oryginalny tytuł tekstu: "Inteligentnie rozpoznać raka"
Reklama